Αυτή η γυναίκα ήταν έγκυος για τα τελευταία 14 χρόνια…Η ιστορία της ξεκινάει από όταν ήταν 13 χρονών! Δεν θα το πιστεύετε!
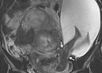
Αυτή η γυναίκα είναι έγκυος για τα τελευταία 14 χρόνια και ξεκινάει ήδη από όταν ήταν 13 χρονών. Θα πάθετε ...
Αυτή η γυναίκα είναι έγκυος για τα τελευταία 14 χρόνια και ξεκινάει ήδη από όταν ήταν 13 χρονών. Θα πάθετε ...
Η Άμπερ και ο σύζυγός της χάρηκαν όταν έμεινε έγκυος, αλλά ποτέ δεν περίμεναν αυτό που θα συνέβαινε. Όταν είδαν ...
Η τεχνολογία κάνει τον κόσμο ένα καλύτερο μέρος για – γονείς με νεογέννητα μωρά. Με χορήγηση $73,000 από την Royal ...
Κάποιο αγοράκι μπήκε επειγόντως στις Πρώτες Βοήθειες ενός νοσοκομείου. Ύστερα από επείγουσες εξετάσεις, ο γιατρός αποφάνθηκε τα εξής: «Θα ανοίξω ...
Οι νοσοκόμες επέμεναν ότι η μητέρα έπρεπε να ρίξει τα δίδυμά μωρά της, όταν όμως είδαν αυτό στο κινητό της ...
Όλοι οι γάμοι κρύβουν μία δόση συγκίνησης, αλλά ο γάμος της Shellie ήταν ακόμα πιο συναισθηματικός, χάρη στη συγκινητική έκπληξη ...
Ένας άνδρας έβλεπε το βίντεο γάμου των γονιών τους παρατήρησε το αυτοκίνητο το οποίο είχαν οι γονείς του εκείνη την ...
“Την περασμένη εβδομάδα, σταμάτησα σε ένα φούρνο για να πάρω κάτι για πρωινό. Καθώς έτρωγα στο αυτοκίνητο μου, παρατήρησα έναν ...
Αυτή η γυναίκα μετά από πολλά “χαστούκια” που της έδωσε η ζωή, αποφάσισε να μείνει έγκυος με έναν δότη σπέρματος. ...
«Όταν ήμουν παιδί, ποτέ δεν διδάχτηκα τη σημασία της εκπαίδευσης, πόσο μάλλον να χρησιμοποιώ ένα επίθετο. Ζούσα σε εποχές που ...
Η ιστορία αγάπης του Floyd και της Violet Hartwig είναι απλά μοναδική. Πέθαναν με διαφορά μερικών ωρών στις 11 Φεβρουαρίου ...
Η 8χρονη κορούλα της αρρώστησε ξαφνικά – Τότε η μαμά βλέπει τι έφαγε και παθαίνει σοκ! Τα φρούτα είναι υγιεινά ...
Ρόδος: Αυστραλοί απέκτησαν δίδυμα και εκπλήρωσαν το τάμα τους στην Παναγία Τσαμπίκα, κρατώντας την υπόσχεσή τους Πρόκειται για την ιστορία ...
Το έγκλημα έγινε τον Ιούλιο του 1996 – «Δεν άντεχα να τον βλέπω κλεισμένο σε ψυχιατρείο», είπε στην απολογία του ...
Στο βόρειο τμήμα των Ουραλίων Όρων στην Ρωσία υπάρχει ένα μέρος που ονομάζεται “Kholat Syakhl”, δηλαδή “Βουνό του Θανάτου”. Και ...
Μια μητέρα από το Νάλας επισκέφτηκε ένα τοπικό κοσμηματοπωλείο για να προσπαθήσει να πουλήσει ένα κόσμημα, οικογενειακό κειμήλιο, αξίας, για ...
Γυναίκα κλώτσησε τον άντρα της από το κρεβάτι επειδή νόμιζε ότι ροχάλιζε αλλά όταν ξύπνησε τον βρήκε νεκρό Την τραγική ...
Όταν η 36χρονη Shellie Tucker ήταν 22 εβδομάδων έγκυος αντιμετώπισε μία έκπληξη. Εκείνη και ο άντρας της Greg θα αποκτούσαν ...